高硬度金屬硼化物涂層
2015-2-10 16:11:13 點擊:
過渡族金屬硼化物也屬于間隙相,但并不嚴格都是。因為B原子的半徑約 為0.097mm,大于N或C的原子半徑,化合物中有時可能出現直接的B一B鍵。 只要化合物中B原子彼此之間不直接成鍵,就僅形成M2B結構(M為金屬元素〉,所形成的硼化物與碳化物、氮化物相類似;然而對于高硼的硼化物,一旦 B一B鍵形成并得到加強,共價鍵在整個鍵合中的貢獻就變得越來越明顯。B原 子較少時,B原子以不同的堆垛次序填充到六方金屬原子點陣間隙中;B原子較 多時,B原子會占據金屬原子的位置,產生置換作用,形成共價鍵網格。

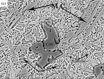
上圖是硼化鉻涂層顯微結構
過渡族硼化物金屬涂層的研究遠不如氮化物、碳化物涂層那么充分。盡管硼 化物和相應的碳化物相比較,硬度不差上下,有些還略高一些(由于硼化物的共價鍵程度更高些〉,但是硼化物的脆性很大,限制了它的實際應用。盡管如此, 由于硬度大、惰性很強、化學性能穩定,因此在某些領域,如硬質防護涂層方面 有很大的應用潛力。在過渡金屬硼化物中,TiB2涂層和ZrB2涂層研究得最多, 它們的晶體結構類型相同,性能也極相似,制備方法也完全相同。
- 上一篇:耐磨涂層后期磨削加工及其注意事項 2015/2/24
- 下一篇:耐磨涂層的分類及實際應用案例 2013/8/30
